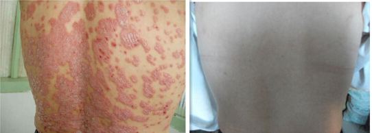
传染是不是牛皮癣的特性
广东牛皮癣会传染吗_牛皮癣遗传吗

传染是不是牛皮癣的特性

电话咨询

传染是不是牛皮癣的特性?牛皮癣是常见皮肤病的一种,在治疗上是比较困难的,它的形成原因也比较复杂,治疗过程也是比较漫长,这个疾病中,我们患者们是需要做好相应的护理的,比如患者们要注意好这个疾病应该要怎么进行治疗,疾病在早期是比较好治的,让我们广州牛皮癣专科医院来为您解答。...

关于牛皮癣患者们要怎么去预防它呢
广东牛皮癣会传染吗_牛皮癣遗传吗

关于牛皮癣患者们要怎么去预防它呢

电话咨询

关于牛皮癣患者们要怎么去预防它呢?牛皮癣是常见皮肤病的一种,在治疗上是比较困难的,它的形成原因也比较复杂,治疗过程也是比较漫长,这个疾病中,我们患者们是需要做好相应的护理的,比如患者们要注意好这个疾病应该要怎么进行治疗,疾病在早期是比较好治的,让我们广州牛皮癣专科医院来为您解答。...

患上牛皮癣后患者们不能吃的食物有什么
广东牛皮癣会传染吗_牛皮癣遗传吗

患上牛皮癣后患者们不能吃的食物有什么

电话咨询

患上牛皮癣后患者们不能吃的食物有什么?牛皮癣是常见皮肤病的一种,在治疗上是比较困难的,它的形成原因也比较复杂,治疗过程也是比较漫长,这个疾病中,我们患者们是需要做好相应的护理的,比如患者们要注意好这个疾病应该要怎么进行治疗,疾病在早期是比较好治的,让我们广州好的牛皮癣医院来为您解答。...

关于牛皮癣的禁忌中患者们应该要注意什么
广东牛皮癣会传染吗_牛皮癣遗传吗

关于牛皮癣的禁忌中患者们应该要注意什么

电话咨询

关于牛皮癣的禁忌中患者们应该要注意什么?牛皮癣是常见皮肤病的一种,在治疗上是比较困难的,它的形成原因也比较复杂,治疗过程也是比较漫长,这个疾病中,我们患者们是需要做好相应的护理的,比如患者们要注意好这个疾病应该要怎么进行治疗,疾病在早期是比较好治的,让我们广东牛皮癣治疗医院来为您解答。...

患了牛皮癣后要对它做常识上的了解吗
广东牛皮癣会传染吗_牛皮癣遗传吗

患了牛皮癣后要对它做常识上的了解吗

电话咨询

患了牛皮癣后要对它做常识上的了解吗?牛皮癣是常见皮肤病的一种,在治疗上是比较困难的,它的形成原因也比较复杂,治疗过程也是比较漫长,这个疾病中,我们患者们是需要做好相应的护理的,比如患者们要注意好这个疾病应该要怎么进行治疗,疾病在早期是比较好治的,让我们广州好的牛皮癣医院来为您解答。...

关于治疗牛皮癣儿童们需要关注什么
广东牛皮癣会传染吗_牛皮癣遗传吗

关于治疗牛皮癣儿童们需要关注什么

电话咨询

关于治疗牛皮癣儿童们需要关注什么?牛皮癣是常见皮肤病的一种,在治疗上是比较困难的,它的形成原因也比较复杂,治疗过程也是比较漫长,这个疾病中,我们患者们是需要做好相应的护理的,比如患者们要注意好这个疾病应该要怎么进行治疗,疾病在早期是比较好治的,让我们广州牛皮癣专科医院来为您解答。...

患了牛皮癣要怎么做好疾病的预防工作呢
广东牛皮癣会传染吗_牛皮癣遗传吗

患了牛皮癣要怎么做好疾病的预防工作呢

电话咨询

患了牛皮癣要怎么做好疾病的预防工作呢?牛皮癣是常见皮肤病的一种,在治疗上是比较困难的,它的形成原因也比较复杂,治疗过程也是比较漫长,这个疾病中,我们患者们是需要做好相应的护理的,比如患者们要注意好这个疾病应该要怎么进行治疗,疾病在早期是比较好治的,让我们广州好的牛皮癣医院来为您解答。...

患了这个牛皮癣关于病因一起聊聊吧
广东牛皮癣会传染吗_牛皮癣遗传吗

患了这个牛皮癣关于病因一起聊聊吧

电话咨询

患了这个牛皮癣关于病因一起聊聊吧?牛皮癣是常见皮肤病的一种,在治疗上是比较困难的,它的形成原因也比较复杂,治疗过程也是比较漫长,这个疾病中,我们患者们是需要做好相应的护理的,比如患者们要注意好这个疾病应该要怎么进行治疗,疾病在早期是比较好治的,让我们广州牛皮癣专科医院来为您解答。...

关于牛皮癣它会有什么样的危害
广东牛皮癣会传染吗_牛皮癣遗传吗

关于牛皮癣它会有什么样的危害

电话咨询

关于牛皮癣它会有什么样的危害?牛皮癣是常见皮肤病的一种,在治疗上是比较困难的,它的形成原因也比较复杂,治疗过程也是比较漫长,这个疾病中,我们患者们是需要做好相应的护理的,比如患者们要注意好这个疾病应该要怎么进行治疗,疾病在早期是比较好治的,让我们广州牛皮癣专科医院来为您解答。...

关于牛皮癣疾病它会不会影响患者们的生活质量
广东牛皮癣会传染吗_牛皮癣遗传吗

关于牛皮癣疾病它会不会影响患者们的生活质量

电话咨询

关于牛皮癣疾病它会不会影响患者们的生活质量?牛皮癣是常见皮肤病的一种,在治疗上是比较困难的,它的形成原因也比较复杂,治疗过程也是比较漫长,这个疾病中,我们患者们是需要做好相应的护理的,比如患者们要注意好这个疾病应该要怎么进行治疗,疾病在早期是比较好治的,让我们广东牛皮癣治疗医院来为您解答。...